Radiologia dentară este o ramură importanta a diagnosticului in tratamentului stomatologic, utilizând tehnici de radiodiagnostic dentar
Furnizarea serviciilor de radiologie dentara de înaltă calitate, bazată pe relații fundamentate pe respect, transparență și încredere cu pacienții, partenerii și furnizorii noștri. Suntem profesioniști autentici, inovatori și flexibili, menținându-ne statutul de nume de referință prin dinamism și dezvoltare continuă.
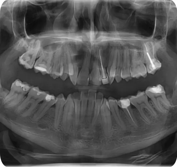
Radiografia dentară este esențială în procesul de diagnosticare și tratament al afecțiunilor dentare. La Edenta Radiologie și Imagistică Medicală, pacienții beneficiază de tehnologie de ultimă generație pentru obținerea unor imagini clare și detaliate ale structurii dentare. Aceste radiografii permit medicului stomatolog să identifice cu precizie problemele ascunse, cum ar fi cariile interdentare, infecțiile la nivelul rădăcinii sau eventuale fracturi dentare.


Un diagnostic corect este primul pas către un plan de tratament eficient și personalizat. Radiografia dentară oferă informațiile necesare pentru a dezvolta un plan de tratament care să răspundă nevoilor specifice ale fiecărui pacient. În funcție de rezultatele radiografiei, medicul stomatolog poate decide asupra pașilor următori, care pot include intervenții chirurgicale, tratamente ortodontice sau alte proceduri stomatologice.
Punem accent pe siguranța pacientului și pe acuratețea diagnosticului. Radiografiile dentare nu doar că ajută la stabilirea unui diagnostic corect, dar și la monitorizarea progresului tratamentului, asigurând astfel rezultate optime pentru sănătatea orală a pacienților noștri.
Radiologia dentară este o ramură importanta a diagnosticului in tratamentului stomatologic, utilizând tehnici de radiodiagnostic dentar
Tomografia dentară computerizată cu doză redusă (Low dose CT) oferă imagini tridimensionale precise ale structurilor anatomice orale
Tomografia dentară computerizată (CBCT) este o tehnologie avansată de imagistică care oferă imagini precise în trei dimensiuni ale maxilarelor și a structurilor orale
Serviciul de dosar ortodontic implică evaluarea și documentarea detaliată a problemelor ortodontice ale pacientului

| Radiografie retroalveolară | 45.00 RON |
| Radiografie bitewing | 45.00 RON |
| Ortopantomografie | 110.00 RON |
| Atm gura închisă / gura deschisă | 110.00 RON |
| Teleradiografie profil / PA | 110.00 RON |
| Dosar ortodontic | 500.00 RON |
| Scanare intra-orala | 250.00 RON |
| Fotografii intra+extra-orale | 200.00 RON |
| Examen ortodontic opt+tele (P) | 190.00 RON |
| Masuratori cefalometrice | 110.00 RON |
| Fotografii intraorale | 150.00 RON |
| Fotografii extraorale | 50.00 RON |
| Sinusuri fronto-maxilare (SAF) | 100.00 RON |
| Print examen radiologic – dim. 20x25 cm | 25.00 RON |
| C.B.C.T. FOV 16 X 16 (Maxilar + Mandibula+ Sinus Frontal) (ATM bilateral) | 550.00 RON |
| C.B.C.T. FOV 12 x 9 (Maxilar + Mandibula) | 550.00 RON |
| C.B.C.T. FOV 16 X 9 Atm bilateral/ Sinus Paranazal | 350.00 RON |
| C.B.C.T. FOV 8.5 x 8.5 (Maxilar/ Mandibula/ Hemiarcade Dr/ Stg) | 350.00 RON |
| C.B.C.T. FOV 8 x 5 (Hemimaxilar Dr/Stg /Hemimandibula Dr/Stg/ATM) | 270.00 RON |
| C.B.C.T. FOV 5 x 5/4x4 (Unidentar) | 200.00 RON |
CBCT GREEN X, produs de VATECH, reprezintă o soluție completă și inovatoare pentru investigațiile 2D și 3D în domeniul medicinei dentare. Integrând tehnologii avansate, acest echipament oferă imagini detaliate și precise ale structurilor orale și maxilofaciale, facilitând diagnosticul și planificarea tratamentelor complexe. Cu capacități extinse de imagistică și caracteristici ergonomice, INSTALAȚIA CBCT, OPT și CEFALO devine un instrument crucial pentru practici dentare moderne, contribuind la îmbunătățirea calității îngrijirii pacienților și eficienței procesului de lucru.
NEW TOM 7G, fabricat de CEFLA, este un sistem CT de ultimă generație cu tehnologie CBCT, cunoscut pentru precizia și acuratețea diagnostică. Acest echipament efectuează scanări 2D,3D si Cine x, oferind imagini precise și detaliate, iar tehnologia LOW DOSE SCAN reduce doza de radiații pentru o siguranță maximă a pacientului. Cu caracteristicile sale avansate și performanța fiabilă, NEW TOM 7G este alegerea ideală pentru diagnosticul și planificarea tratamentelor în domeniul stomatologiei,chirurgiei OMF,chirurgiei ortognate, ortopediei, reumatologiei.
EZRAY, produs de VATECH, este un echipament compact și eficient specializat în realizarea radiografiilor retroalveolare. Cu o tehnologie de imagine de înaltă calitate, acest aparat oferă imagini precise și detaliate ale regiunii orale și dentare, esențiale pentru diagnosticul și tratamentul afecțiunilor dentare specifice. Simplu de utilizat și fiabil în performanță, EZRAY este o soluție ideală pentru practici dentare de orice dimensiune, contribuind la o evaluare rapidă și precisă a sănătății orale a pacienților.

Tehnologia CBCT furnizează imagini tridimensionale precise ale maxilarelor, utilizând o doză redusă de radiatii, generând o imagine detaliată. Software-ul permite analiza în trei planuri, o componentă crucială pentru diagnostic și planificare virtuală a tratamentelor dentare, inclusiv a implanturilor, diagnosticând anomalii endodontice și parodontale, analizând ATM-ul și ghidând intervențiile chirurgicale orale.
Tehnologia Green CBCT oferă imagini precise în 3D ale maxilarelor și structurilor orale. Este o soluție inovatoare, oferind investigatii cu doză redusă de radiații, contribuind la sănătatea pacienților.
Află mai multe
Dosarul ortodontic este o documentație în tratamentul ortodontic, incluzând radiografii, imagini intraorale, modele dentare și informații medicale.
Acestea ajută medicul să diagnosticheze corect și să planifice un tratament personalizat pentru alinierea și sănătatea dinților pacientului. Este fundamentul pentru un tratament ortodontic eficient și de succes.
Află mai multe
Low dose CT este o tehnică de tomografie computerizată care utilizează doze reduse de radiații pentru imagini detaliate ale structurilor anatomice. Oferă echilibru între calitatea imaginilor și siguranța pacientului, fiind esențială în diagnosticul și monitorizarea afecțiunilor dentare și maxilofaciale.
Află mai multe